医学故事:多囊肾也可用于移植!
发布时间:2015-04-28 发布:希尔康
男性,40 岁,在一次交通事故中丧失生命,无肾脏疾病家族史。事后,肾脏未受损伤,移植给两名肾病患者。
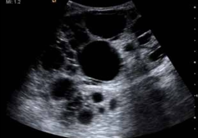
其中一名肾脏移植接受者是一名 24 岁男性坏死性肾小球肾炎终末期患者,其 10 年前曾做过肾移植手术。在移植术后的肾脏超声检查中发现,移植肾发现有两个类圆形囊肿,直径分别为 2.0cm 和 1.0cm。数年后肾脏 B 超检查结果如下。

另一名肾脏移植接受者是一名 57 岁男性,伴有慢性间质性肾炎。在肾脏移植手术中未发现移植肾脏形态的异常,手术超声检查中发现在肾皮质和盂旁均发现类圆形囊肿,直接分别为 1.7cm 和 1.8cm。数年后肾脏检查结果如下。

上述两位肾脏接受者在随后的检查中均发现,肾脏体积增大,其内囊肿体积增大,数量增多,最终病理结果诊断为多囊肾。两个移植的肾脏分别运行了 10 年和 14 年。
尽管器官捐赠者都要经过严格的检查,但偶尔也会有捐赠者隐匿的疾病传染给器官接受者。这些病变包括恶性肿瘤,传染病,罕见病和先天性病变。
本案例中,移植肾脏虽然发现有囊肿,但是肾脏的形态未见异常,并且器官提供者无多囊肾的家族史所以很难确定患有多囊肾疾病。
在移植的两名患者中,肾脏的寿命分别为 10 年和 14 年。因此我们可以推论在多囊肾的早期,作为移植肾其寿命在 10-15 年左右。从如此长的移植时间的我们可以得出结论,多囊肾也可以作为肾移植考虑的对象。

联系我们:
服务热线:4008-110-978
联系电话:023-67505445/6
E-Mail:xek@cqxek.com
网址:www.cqxek.com


返回列表